Skip to main content
U.S. flag

An official website of the United States government

Here’s how you know

Dot gov

Official websites use .gov
A .gov website belongs to an official government organization in the United States.

HTTPS

Secure .gov websites use HTTPS
A lock (LockA locked padlock) or https:// means you have safely connected to the .gov website. Share sensitive information only on official, secure websites.

  • Environmental Topics
  • Laws & Regulations
  • Report a Violation
  • About EPA
Contact Us

Grantee Research Project Results

2005 Progress Report: Estrogen Elicited Gene Expression Network Elucidation in the Rat Uterus

EPA Grant Number: R831847
Title: Estrogen Elicited Gene Expression Network Elucidation in the Rat Uterus
Investigators: Zacharewski, Timothy , Gennings, Chris , Chan, Christina , Harkema, Jack
Current Investigators: Zacharewski, Timothy , Chan, Christina , Harkema, Jack
Institution: Michigan State University
EPA Project Officer: Aja, Hayley
Project Period: September 1, 2004 through August 31, 2007
Project Period Covered by this Report: September 1, 2004 through August 31, 2005
Project Amount: $747,960
RFA: Computational Toxicology and Endocrine Disruptors: Use of Systems Biology in Hazard Identification and Risk Assessment (2004) RFA Text |  Recipients Lists
Research Category: Computational Toxicology , Endocrine Disruptors , Environmental Justice , Human Health , Safer Chemicals

Objective:

The objectives of this research project are to: (1) establish estrogenic endocrine disruptor (EED)-elicited dose- and time-dependant changes in rat uterine gene expression; (2) investigate the role of the estrogen receptor (ER) in mediating changes in gene expression; (3) phenotypically anchor changes in gene expression to histopathological outcomes; and (4) develop a model that describes the EED-elicited uterine gene expression network.

Progress Summary:

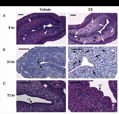
In-life time course and dose response studies for ethynyl estradiol (EE) in immature ovariectomized Sprague Dawley rats have been completed. EE elicited the characteristic uterotrophic effects (up to 7-fold induction in uterine wet weight) in a dose responsive manner, allowing for selection of a dose for the temporal studies that would result in optimal physiological response. The 100 µg/kg dose of EE was thus selected and implemented in a comprehensive time course study (2, 4, 8, 12, 18, 24, and 72, 84, 96, 120, 144, 168 hours posttreatment with one or three daily doses, respectively) wherein a broad spectrum of physiological, histopathological, and molecular endpoints were captured for measurement. This time course design captured the induction and subsequent regression in uterotrophy that occurred at 72 hours. Temporal changes in uterine wet and blotted weights (5- and 7-fold, respectively, peaking at 72 hours) were used to assess gross physiological endpoints including water imbibition, proliferation, and regression. Histopathological samples were processed, mounted, stained (H&E), and evaluated by a veterinary pathologist (Co-Investigator, Dr. Jack Harkema). Subsequent findings of timed stromal edema (Figure 1A), immune cell accumulation, basal lamina thickening, luminal epithelial hypertrophy, proliferation, and apoptosis were used to characterize the morphological changes preceding and overlapping with the uterotrophic response at 72 hours. Immunohistochemical staining for BrdU nuclear incorporation into luminal epithelial cells (Figure 1B) at each time point allowed for morphological quantification of this marker of DNA synthesis and cell cycle progression. Maximal induction in BrdU staining (15-fold) was seen at 24 hours indicating a synchronous progression of these cells through the cell cycle approximately 24 hours after treatment with EE. Luminal epithelial cell height also was significantly increased 1.6- and 2.7-fold at 24 and 72 hours, respectively (Figure 1C).

Figure 1. Rat Uterine Tissue (A) H&E Stained, (B) Immunohistochemically Stained for BrdU, and (C) Showing Luminal Epithelial Cell Height

Custom in-house rat cDNA microarrays were used to characterize the temporal changes in gene expression involved in uterotrophic induction after a single dose of EE as well as monitor the changes at and subsequent to the uterotrophic time point (72 hours) after three doses. Differentially expressed genes were analyzed and functionally annotated using a variety of computational and literature search-based methods. The resulting functional categories represented by the EE expression profiles included transcription factors, water and ion transporters, angiogenic factors, pro- and antiapoptotic genes, redox regulators, xenobiotic metabolism enzymes, heat shock proteins, protein synthesis genes and proteasome family members, DNA replication and cell cycle control genes, and cellular energetics control genes. The expression profiles of several (20) representative genes covering multiple categories of response were verified by quantitative real-time PCR with an average temporal correlation coefficient of 0.83 between the microarray and real-time expression data indicating excellent concordance between the two methods. The temporal regulation of these families of gene responses mapped well to the time points preceding or overlapping with the histopathological and physiological endpoints that were observed in the uterus. Phenotypic linkages between gene responses and cellular or structural endpoints have been established, providing a robust baseline data set for comparison to subsequent studies of estrogenic compounds.

In-life dose response studies of o,p’-DDT have been completed (Figure2) and time course studies are underway to evaluate the estrogenicity of DDTin the rat uterus. The dose response study revealed DDT to behave in amanner less potent and with less efficacy than EE in inducing wet weight; however,induction in blotted weights are more comparable. The difference in inductionin water content suggests a differential effect in water or ion transport. Severalgenes involved in related processes were regulated by EE including Vegf,aquaporins, solute carrier family proteins, and sodium channel proteins. Subsequentexamination of DDT expression profiles will provide evidence to determine ifthese mechanisms are involved in the EE but not DDT induction in water contentamong other endpoints.

Figure 2. Uterotrophy Dose Response Curves

Significance

These results demonstrate that EE elicits effects on uterine size, water content, cytoarchitecture, and proliferation. Preliminary investigations indicate organ-, cell-, and gene-level changes are perturbed by EE treatment. The results are consistent with global gene expression results, although more refined studies are need to further elucidate the disrupted pathways, and to determine if these affects are relevant to humans.

Future Activities:

No significant change in plans is being proposed for Year 2. Additional treatment and time points will be examined in Sprague Dawley rats. Bioinformatic mapping of putative estrogen response elements to the gene expression changes in addition to probing cis-regulatory elements via chromatin immunoprecipitation will allow for molecular discrimination of estrogen responsiveness.

Journal Articles:

No journal articles submitted with this report: View all 90 publications for this project

Supplemental Keywords:

endocrine disruptors, computational toxicology, computational modeling, risk analysis, biochemistry, altered gene expression, exposure studies, fetal development, human health risk,, Health, RFA, Scientific Discipline, PHYSICAL ASPECTS, POLLUTANTS/TOXICS, Physical Processes, Risk Assessments, Biology, Environmental Chemistry, Endocrine Disruptors - Human Health, Environmental Microbiology, endocrine disruptors, Biochemistry, Endocrine Disruptors - Environmental Exposure & Risk, Chemicals, altered gene expression, altered sexual development, mice, EDCs, in utero exposure, germ cell vulnerability, developmental biology, exposure studies, endocrine disrupting chemicals, exposure, reproductive processes, gestational exposure, human health risk, fetal development, molecular mechanisms, fetal genocyte degeneration

Progress and Final Reports:

Original Abstract
  • 2006 Progress Report
  • Final Report
  • Top of Page

    The perspectives, information and conclusions conveyed in research project abstracts, progress reports, final reports, journal abstracts and journal publications convey the viewpoints of the principal investigator and may not represent the views and policies of ORD and EPA. Conclusions drawn by the principal investigators have not been reviewed by the Agency.

    Project Research Results

    • Final Report
    • 2006 Progress Report
    • Original Abstract
    90 publications for this project
    14 journal articles for this project

    Site Navigation

    • Grantee Research Project Results Home
    • Grantee Research Project Results Basic Search
    • Grantee Research Project Results Advanced Search
    • Grantee Research Project Results Fielded Search
    • Publication search
    • EPA Regional Search

    Related Information

    • Search Help
    • About our data collection
    • Research Grants
    • P3: Student Design Competition
    • Research Fellowships
    • Small Business Innovation Research (SBIR)
    Contact Us to ask a question, provide feedback, or report a problem.
    Last updated April 28, 2023
    United States Environmental Protection Agency

    Discover.

    • Accessibility
    • Budget & Performance
    • Contracting
    • EPA www Web Snapshot
    • Grants
    • No FEAR Act Data
    • Plain Writing
    • Privacy
    • Privacy and Security Notice

    Connect.

    • Data.gov
    • Inspector General
    • Jobs
    • Newsroom
    • Open Government
    • Regulations.gov
    • Subscribe
    • USA.gov
    • White House

    Ask.

    • Contact EPA
    • EPA Disclaimers
    • Hotlines
    • FOIA Requests
    • Frequent Questions

    Follow.