Skip to main content
U.S. flag

An official website of the United States government

Here’s how you know

Dot gov

Official websites use .gov
A .gov website belongs to an official government organization in the United States.

HTTPS

Secure .gov websites use HTTPS
A lock (LockA locked padlock) or https:// means you have safely connected to the .gov website. Share sensitive information only on official, secure websites.

  • Environmental Topics
  • Laws & Regulations
  • Report a Violation
  • About EPA
Contact Us

Grantee Research Project Results

2003 Progress Report: Viruses as a Regulator of Harmful Algal Bloom Activity: Aureococcus anophagefferens as a Model System

EPA Grant Number: R829367
Title: Viruses as a Regulator of Harmful Algal Bloom Activity: Aureococcus anophagefferens as a Model System
Investigators: Gastrich, Mary Downes , Anderson, O. Roger , Wilhelm, Steven W. , Gobler, Christopher
Current Investigators: Gastrich, Mary Downes , Anderson, O. Roger , Gobler, Christopher , Wilhelm, Steven W.
Institution: Columbia University in the City of New York , University of Tennessee , Long Island University - Southampton College
Current Institution: Columbia University in the City of New York , Long Island University - Southampton College , University of Tennessee
EPA Project Officer: Packard, Benjamin H
Project Period: January 15, 2002 through July 31, 2005 (Extended to January 14, 2006)
Project Period Covered by this Report: January 15, 2003 through July 31, 2004
Project Amount: $210,232
RFA: Ecology and Oceanography of Harmful Algal Blooms (2001) RFA Text |  Recipients Lists
Research Category: Aquatic Ecosystems , Water Quality , Water

Objective:

The objectives of this research project are to: (1) determine the frequency that viral-like particles (VLPs) infect and lyse natural populations of Aureococcus anophagefferens in the coastal bays of New York and New Jersey; (2) isolate viruses specific to A. anophagefferens and establish baseline information on the genetic diversity of viruses that infect A. anophagefferens; and (3) determine the influence of viral activity on the proliferation of A. anophagefferens and bloom termination in situ.

Progress Summary:

Highlights 2002 (Year 1)

The combined results of this study and previous studies clearly show continuing evidence of a persistent viral infection of natural populations of Aureococcus occurring over a regional geographic range over several bloom years. The sampling frequency in 2002 provided a better definition of the different stages of the bloom in Little Egg Harbor, NJ, and our transmission electron microscopy (TEM) results clearly characterized the percentage of VLP-infected Aureococcus in natural populations throughout the bloom period (e.g., elevated percentages at the beginning of the bloom, sharply decreased percentages during the peak of the bloom, and up to 60 percent of infected cells as the bloom subsided). While these results also corroborated previous studies, our study provided additional evidence of an increased percentage of VLP infection at the end of the bloom.

Our laboratory results confirmed the lytic activity of the viral isolates from New Jersey and New York waters that were specific to A. anophagefferensin situ, and our TEM results confirmed the presence of intracellular VLPs in healthy cultures infected with the lytic virus; these results corroborated previous studies of reinfection experiments of viral isolates from New York waters. Our TEM results showed that at least two types of viruses (approximately 70 nm capsids) were present in unpurified viral isolates that caused the lysis of some healthy cultures of A. anophagefferens. This finding corroborates previous studies of viral lysis of Aureococcus, including similar-sized free viruses, but this will be further investigated during next year.

Highlights 2003 (Year 2)

Our field sampling of natural populations of A. anophagefferens in New Jersey stations was completed, and this satisfied Objective 1 of the grant. Brown tide abundances in New Jersey sampling locations were very low in 2003 (many at 5,000 cells per mL with 1 station at 54,000 cells per mL with no reported brown tide blooms in either New Jersey or New York locations, and although there was variability in the percent of VLP-infected cells, cells continued to be VLP infected (from 0% to 100% infection). We plan to publish these results in a note as a comparison to our 2002 results (brown tide bloom year). Our manuscript, “ Viruses as Potential Regulators of Regional Brown Tide Blooms Caused by the Alga, Aureococcus anophagefferens” (Gastrich, et al., 2004) was accepted and is in press for publication in Estuaries.

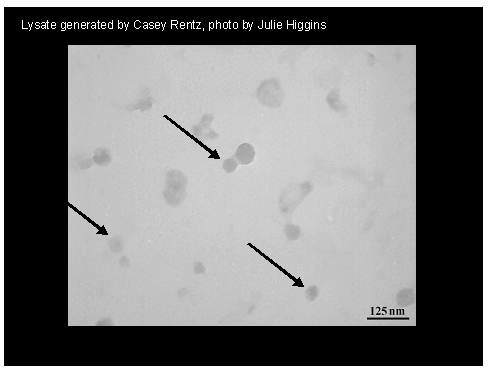
Again in 2003, our laboratory results confirmed the lytic activity of the viral isolates from New Jersey and New York waters that were specific to A. anophagefferensin situ , and our TEM results confirmed the presence of intracellular VLPs in healthy cultures infected with the lytic virus; these results corroborated previous studies of reinfection experiments of viral isolates from New York waters. Isolated viral lysates from Dr. Wilhelm’s laboratory show two sizes of viruses < 100 nm in diameter (see Figure 1).

Our experimental additions of inorganic nitrogen and phosphorus yielded growth rates within the total phytoplankton community that significantly exceeded control treatments in 83 percent of experiments, whereas A. anophagefferens experienced significantly increased growth during only 20 percent of experimental nutrient additions. Experimental enrichment of the natural viral densities yielded a significant increase in A. anophagefferens growth rates relative to control treatments when background levels of viruses were low (< 1.7 x 10 8 mL -1), suggesting that viruses may promote bloom occurrence by regenerating dissolved organic matter or altering the composition of microbial communities. Our manuscript, “Ecology of Phytoplankton Communities Dominated By Aureococcus anophagefferens: The Role of Viruses, Nutrients, and Microzooplankton Grazing” (Gobler, et al., 2004) was submitted to Harmful Algae.

Isolated Viral Lysate Specific to <em>A. anophagefferens</em>

Figure 1. Isolated Viral Lysate Specific to A. anophagefferens (Generated by Steve Wilhelm’s Laboratory, January 2004)

Future Activities:

Aureococcus infecting A. anophagefferens, kinetics of isolated purified viruses absorption to host cells, estimated in situ decay rate of isolated and purified viral infectivity); (2) growing cultures of A. anophagefferens under optimal conditions for growth as previously determined; and (3) obtaining ultrastructural data, using TEM, to document and quantify the stages of viral infection including viral attachment to the host cell (= algal cell), internal replication, and fate of host cell using several clones of A. anophagefferens. We also will determine the genetic diversity in viruses infecting A. anophagefferens by providing an approximation of the genetic diversity amongst the viruses that we isolate that infect A. anophagefferens; we will distinguish between different operational taxonomic units by restriction fragment length polymorphism analysis of their genomes. We also will determine the duration of the lytic cycle and determination of visible TEM infection period to infer mortality (e.g., time‑course examination of A. anophagefferens cultures through a controlled infection and lysis). TEM will be used to determine visibly the viral infection period to infer mortality of natural populations of A. anophagefferens as per methods used to obtain the preliminary results above. In addition, we will conduct one-step growth curves. We also will complete field experiments (Objective 3) and conduct experiments to determine if our propagated viral isolates are capable of lysing field populations of A. anophagefferens.


Journal Articles on this Report : 2 Displayed | Download in RIS Format

Publications Views
Other project views: All 8 publications 4 publications in selected types All 4 journal articles
Publications
Type Citation Project Document Sources
Journal Article Gastrich MD, Leigh-Bell JA , Gobler CJ, Anderson OR, Wilhelm SW, Bryan M. Viruses as potential regulators of regional brown tide blooms caused by the alga, Aureococcus anophagefferens. Estuaries 2004;27(1):112-119. R829367 (2003)
R829367 (Final)
not available
Journal Article Gobler CJ, Deonarine S, Leigh-Bell J, Gastrich MD, Anderson OR, Wilhelm SW. Ecology of phytoplankton communities dominated by Aureococcus anophagefferens: the role of viruses, nutrients, and microzooplankton grazing. Harmful Algae 2004;3(4):471-483 R829367 (2003)
R829367 (Final)
not available

Supplemental Keywords:

viruses, brown tide blooms, Aureococcus anophagefferens , algal blooms, control of algal blooms, harmful algal blooms, laboratory studies, transmission electron microscopy, TEM, viral isolates, viral-like particles, VLP, viral lysis,, RFA, Scientific Discipline, Ecosystem Protection/Environmental Exposure & Risk, Water, algal blooms, Aquatic Ecosystem, Aquatic Ecosystems & Estuarine Research, Ecosystem Protection, Chemistry, Ecology, Biology, Ecosystem/Assessment/Indicators, Environmental Microbiology, Ecological Effects - Environmental Exposure & Risk, Auerococcus, ECOHAB, laboratory studies, water quality, control of algal blooms, mortality rate, brown tide blooms

Progress and Final Reports:

Original Abstract
  • 2002 Progress Report
  • 2004
  • Final Report
  • Top of Page

    The perspectives, information and conclusions conveyed in research project abstracts, progress reports, final reports, journal abstracts and journal publications convey the viewpoints of the principal investigator and may not represent the views and policies of ORD and EPA. Conclusions drawn by the principal investigators have not been reviewed by the Agency.

    Project Research Results

    • Final Report
    • 2004
    • 2002 Progress Report
    • Original Abstract
    8 publications for this project
    4 journal articles for this project

    Site Navigation

    • Grantee Research Project Results Home
    • Grantee Research Project Results Basic Search
    • Grantee Research Project Results Advanced Search
    • Grantee Research Project Results Fielded Search
    • Publication search
    • EPA Regional Search

    Related Information

    • Search Help
    • About our data collection
    • Research Grants
    • P3: Student Design Competition
    • Research Fellowships
    • Small Business Innovation Research (SBIR)
    Contact Us to ask a question, provide feedback, or report a problem.
    Last updated April 28, 2023
    United States Environmental Protection Agency

    Discover.

    • Accessibility
    • Budget & Performance
    • Contracting
    • EPA www Web Snapshot
    • Grants
    • No FEAR Act Data
    • Plain Writing
    • Privacy
    • Privacy and Security Notice

    Connect.

    • Data.gov
    • Inspector General
    • Jobs
    • Newsroom
    • Open Government
    • Regulations.gov
    • Subscribe
    • USA.gov
    • White House

    Ask.

    • Contact EPA
    • EPA Disclaimers
    • Hotlines
    • FOIA Requests
    • Frequent Questions

    Follow.